
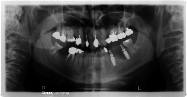
X-ray of whole mouthful of teeth showing implants
I do not remember these X-rays being taken although I must have been led from the chair to the machine and back again. What I do remember is Ashok saying "Wider, Wider!" and me saying "Ow!"
It appears that, to be very sure of avoiding the nerve, he exposed it so he knew exactly where it was. This would explain why I felt some discomfort even through the anaesthetic and the sedative. talk about touching a raw nerve. Ugh and shudder.

X-ray of lower left teeth after implants
That it is for three months when I go back to get the OK for the permanent crowns to replace the current temporaries. Well apart that is from crowning the lower right 8 but Raj cannot take an impression for a least six weeks till these chaps have bonded in.

1 comment:
OMG! The horra! The horra! Looks like you're almost there though. Stiff upper lip, so you say!
Post a Comment